Воздушные кисты в легких представляют собой полостные образования, заполненные воздухом, которые могут образовываться в легочной ткани. Эти образования могут возникать по различным причинам и иметь разные клинические проявления.
Причины образования воздушных кист
- Хронические легочные заболевания, такие как хронический бронхит или эмфизема.
- Инфекционные процессы, например, туберкулез или абсцесс легкого.
- Травмы, приводящие к разрыву легочной ткани.
- Аутоиммунные заболевания, такие как саркоидоз.
Симптомы
На начальных стадиях воздушные кисты могут не проявляться симптоматически. Однако по мере увеличения размера кисты или появления осложнений могут наблюдаться следующие симптомы:
- Одышка
- Кашель, который может быть сухим или с отхождением мокроты
- Боль в груди
- Состояние усталости
Диагностика
Для диагностики воздушных кист в легких используются различные методы:
- Рентгенография грудной клетки для визуализации изменений.
- Компьютерная томография, которая дает более детальные изображения легких.
- Бронхоскопия для оценки состояния дыхательных путей.
Лечение
Лечение зависит от причины образования кист и степени их воздействия на здоровье пациента. В некоторых случаях может потребоваться наблюдение, в других — медикаментозная терапия или хирургическое вмешательство.
Воздушные кисты в легких могут быть как безобидными образованиями, так и сигналом серьезных заболеваний. Важно обратиться к врачу для своевременной диагностики и лечения.
Киста легкого
Кистой принято называть полостное образование, содержащее воздух или жидкость. Эти образования нередко возникают в легких и составляют 6–25 % всех легочных заболеваний.
Киста легкого представляет собой полость, наполненную газом или жидкостью. В большинстве случаев данное состояние протекает бессимптомно и не сопровождается инфекцией. Её чаще всего обнаруживают при профилактическом обследовании или во время диагностики вирусных и инфекционных заболеваний дыхательных путей. Несмотря на отсутствие беспокойств у пациента, киста не должна считаться абсолютно безопасным заболеванием, так как при осложнениях она может угрожать как здоровью, так и жизни человека. Важным шагом является получение профессиональной консультации и соответствующее лечение.
Классификация
Кисты различаются по своему происхождению и механизму формирования на следующие категории:
- Врожденные — образуются в утробе матери, и ребенок появляется на свет с дефектами развития легких. Такие кисты обычно диагностируют в детском возрасте. К ним относятся гигантские кисты, кистозная гипоплазия, кистозные изменения добавочного легкого, бронхиолярная эмфизема и внутридолевая секвестрация.
- Дизонтогенетические — Врожденные образования, возникающие из-за нарушений в развитии легких во время эмбриогенеза. Эти кисты начинают развиваться после рождения и могут быть диагностированы в разном возрасте. В эту категорию входят бронхогенные и дермоидные кисты, а также бронхогенные кистаденомы.
- Приобретенные — возникают в результате заболеваний или травм легочной ткани. К ним относятся буллезная эмфизема, эхинококковая киста, пневмоцеле, туберкулезные каверны и эмфизематозно-буллезная секвестрация.
Также кисты могут различаться по количеству образований:
- одиночные;
- множественные.
Кисты, соединенные с бронхиальным просветом, классифицируют как открытые, а те, что не имеют такого соединения — как закрытые.
По содержимому полостей кисты делятся на воздушные и заполненные.
Размеры кист могут быть следующими:
- малые — до 3 сегментов;
- средние — от 3 до 5 сегментов;
- большие — более 5 сегментов.
Протекание кист может быть как беспроблемным, так и осложненным.
Признаки кисты в легких

Симптоматика кисты легкого может изменяться в зависимости от ее размеров, расположения и типа. Например, небольшие кисты могут не проявляться и быть неожиданно выявлены на рентгеновских снимках грудной клетки. Однако в некоторых ситуациях они способны вызывать следующие симптомы:
- Кашель: может быть как сухим, так и с выделением мокроты. При наличии инфекционного процесса мокрота может иметь гнойный характер.
- Одышка: особенно заметная при физической активности, что может объясняться сжатием дыхательных путей кистой или повреждением легочной ткани.
- Боли в области груди: могут возникать в результате раздражения плевры или компрессии окружающих тканей.
- Гемоптизия: наблюдается при повреждении сосудов в области или вокруг кисты.
- Постоянная усталость и слабость: могут быть результатом снижения функциональности дыхательной системы.
- Лихорадка: обычно отмечается при инфекционных процессах внутри кисты.
- Аускультативные шумы: в редких случаях значительные кисты могут издавать звуки, которые выявляет доктор во время аускультации.
Важно помнить, что указанные симптомы не обязательно указывают на наличие кисты легких, так как они могут быть связаны с другими заболеваниями дыхательной системы. При появлении подобных признаков рекомендуется обратиться к врачу для детального обследования.
Кроме того, кисты легких могут быть врожденными или приобретенными. Врожденные кисты, как правило, не вызывают симптомов и могут быть обнаружены случайно. При этом приобретенные кисты могут возникать в результате инфекций, травм или других заболеваний легких, таких как туберкулез или паразитарные инфекции.
Для диагностики кисты могут использоваться различные методы исследования, такие как рентгенография, компьютерная томография или магнитно-резонансная томография. Эти исследования помогают определить размеры, расположение и характеристики кисты, а также уточнить, есть ли необходимость в лечебных вмешательствах.
Лечение кисты легких зависит от ее размеров и наличия симптомов. В некоторых случаях достаточно наблюдения, в то время как в более серьезных ситуациях может потребоваться вмешательство, такое как дренирование или хирургическое удаление.
Помните, что регулярные медицинские осмотры и внимание к своему здоровью могут помочь в выявлении возможных заболеваний на ранних стадиях.
Осложнения
Осложнения, связанные с кистой легкого, могут быть различными и зависят от ее типа, размера и местоположения. В некоторых ситуациях киста может заразиться. Если в ней присутствует воздух или жидкость, это может привести к инфекции, вызывающей пневмонию или эмпиему.
В других случаях кисты могут провоцировать гемоптизию, которая возникает при повреждении сосудов, расположенных внутри или около кисты. Хотя гемоптизия может быть незначительной, иногда она приводит к опасным потерям крови.

Кисты могут Вызывать болевые ощущения в груди, особенно если они оказывают давление на соседние органы. В редких случаях это может спровоцировать более серьезные проблемы, такие как пневмоторакс, при котором воздух покидает кисту и попадает в плевральное пространство, что приводит к коллапсу легкого.
Редкие случаи возникновения рака легкого Возможны. Несмотря на то, что это не обычное осложнение, любые изменения в размерах и свойствах кисты требуют тщательной медицинской оценки.
Появление воздушной кисты на КТ легких

Причиной врожденной патологии является аномалия развития мелкого бронха, в результате чего внутриутробно формируется тонкостенная киста, заполненная жидкостью или воздухом.
Вид содержимого зависит от клеточной структуры, выстилающей стенку кисты. Бокаловидные клетки вырабатывают слизь; если киста не связана с бронхом, она может превращаться в мукоцеле, со временем увеличиваясь. Выделение воздуха в полость создает пневмоцеле. Напряженная киста развивается по клапанному принципу, из-за чего она может увеличиваться постепенно или резко. На КТ легких видно, как киста сжимает окружающие ткани и смещает средостение в противоположную сторону.
На компьютерной томографии можно наблюдать следующие особенности:
- одиночное замкнутое образование, представленное в виде кольцевидной тени округлой формы с четкими стенками (если нет воспалительного процесса, толщина стенки не превышает 2-3 мм);
- обычно располагается поблизости от главных дыхательных путей;
- внутреннее содержимое может быть Представлено белковой жидкостью, кровью, кальциевой взвесью или воздухом.

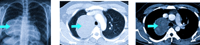
На рентгеновских снимках и КТ можно наблюдать объемное бронхогенное образование у новорожденного (стрелки указывают на патологию).
Данная патология иногда обнаруживается в утробе матери во время планового ультразвукового обследования или сразу после рождения. В данной ситуации, учитывая потенциальную угрозу для жизни, врачи настоятельно рекомендуют хирургическое вмешательство, особенно в постнатальный период, когда риск кровотечений, инфицирования и малигнизации высок. Удаление кисты является приоритетным.
Множественные врожденные кисты являются признаком ряда пороков легкого:
- кистозная гипоплазия;
- синдром Маклеода;
- долевая эмфизема;
- секвестрация легкого и другие.
Киста легкого на КТ после COVID-19

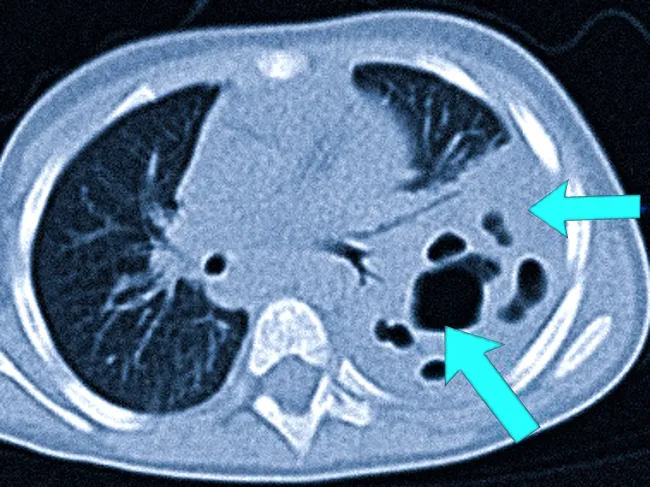
Воспалительный процесс (обозначен красной стрелкой) и сопутствующее инфильтративное изменение (синя стрелка).
После перенесенной коронавирусной инфекции, часто осложненной пневмонией, у некоторых пациентов на фоне фиброзных изменений выявляют отдельные кисты. При диагностике важно учитывать, что «после» COVID-19 не всегда означает «вследствие» его. Врач анализирует течение заболевания, результаты клинических анализов, а также иммунный статус пациента.
Изменения в легочной ткани после перенесенной пневмонии чаще всего выражены у пациентов с сопутствующими заболеваниями:
- ВИЧ-инфекцией, гепатитами В и С;
- сахарным диабетом;
- ожирением;
- курением и алкоголизмом;
- онкологическими заболеваниями и лечением химиотерапией, лучевой терапией в анамнезе.
Воспаление легких в комбинации с иммунодефицитом может приводить к образованию абсцессов (ограниченных гнойников в легочной ткани). При условии успешного течения заболевания и применения антибиотикотерапии гнойный детрит может рассасываться, а полости очищаться. Однако в будущем возможно развитие рубцов или воздушной кисты легкого.
Компьютерная томография. Основные принципы
Подходы к лечению кисты легкого
Данное заболевание несет в себе риск возникновения серьезных осложнений, поэтому всем пациентам рекомендуется операция, независимо от размеров кисты.
Если возникают осложнения, хирургическое вмешательство проводится экстренно в условиях стационара.
Оперативное лечение кисты предполагает её вылущивание или удаление с частью легкого. При поликистозе существует возможность удаления всего легкого, учитывая опасность для здоровья и жизни пациента. Операция может быть эндоскопической (с введением инструментов через несколько небольших разрезов на грудной стенке) или открытой с необходимостью проведения разреза грудной клетки для обеспечения доступа.
При наличии осложнений открытая операция может быть предпочтительнее для лучшей визуализации внутренних органов грудной клетки.
Если у пациента имеются выраженные гемодинамические нарушения (пониженное артериальное давление, увеличение частоты сердечных сокращений), признаками интоксикации, либо дыхательная и сердечно-сосудистая недостаточность, предварительно проводится подготовка для стабилизации состояния.
При напряженном пневмотораксе или пиотораксе сначала выполняется пункция плевральной полости, её дренирование при помощи УЗИ. После стабилизации воспалительного процесса, на фоне медикаментозного лечения, осуществляется операция.
- распространенное двустороннее поражение;
- выраженный пневмосклероз;
- бронхоэктазия на противоположной стороне;
- тяжелые сердечно-сосудистые расстройства.
Легочные кисты
Кисты в легких представляют собой полости, находящиеся в легочной ткани и окруженные эпителием дыхательных путей. Структура их стенок аналогична стенкам бронхов или ацинусов.
Кисты могут быть как одиночными, так и множественными (например, при поликистозе), бывают однокамерными и многокамерными, располагаются в одном легком или в обоих.
Существует различие между истинными и ложными легочными кистами.
- Истинные легочные кисты — это полости с тонкими стенками, выстланные бронхиальным эпителием, внутри которых может находиться как воздух, так и прозрачная жидкость. Они являются врожденными (такие как кистозная гипоплазия легких, кистозно-аденоматозная мальформация легких, бронхоальвеолярные кисты). Бронхогенные кисты, как правило, располагаются близко к трахее и главным бронхам, имеют с ними связь.
- Ложные кисты формируются в результате повреждений легочной ткани, воспалительных процессов (например, вследствие абсцесса легкого, пневмонии, прошедшего кавернозного туберкулеза). Они имеют фиброзную оболочку и чаще всего находятся в задних сегментах легкого.
- Паразитарные кисты в легких часто возникают из-за инфекции, вызванной эхинококком (Echinococcus granulosus). Заражение может произойти при употреблении contaminated пищи или воды, а также при контакте с инфицированными животными, если не соблюдать правила личной гигиены.
Подозрение на заболевание может возникнуть при наличии следующих признаков:
1. Небольшие кисты обычно не вызывают никаких симптомов и могут быть выявлены только путем рентгенографии грудной клетки.
2. Присутствие крупных кист (более 5-6 см) может проявляться болями в грудной области, кашлем, который бывает либо сухим, либо с небольшим количеством мокроты, а также одышкой (из-за давления на легкое и нарушения газообмена).
3. Если происходит инфицирование, пациенты могут жаловаться на кашель с выделением слизистой или слизисто-гнойной мокроты, также могут отмечаться одышка и иные признаки дыхательной недостаточности. В острые периоды количество мокроты усиливается, может наблюдаться гнойный ее характер, повышение температуры, щадящая слабость.
При наличии подобных симптомов важно обратиться к врачу, который проведет оценку состояния и назначит необходимые исследования.
Для диагностики кист легких назначаются:
- Лабораторные анализы крови для определения маркеров воспаления и проведения иммунологических и бактериологических исследований, анализ газов артериальной крови, а также общий и бактериологический анализ мокроты.
- Инструментальные методы: мультиспиральная компьютерная томография грудной клетки, проверка функции внешнего дыхания, бронхоскопия, включая изучение бронхиального лаважа и биопсию, помогают подтвердить диагноз на морфологическом уровне.
Кисты легких лечатся исключительно оперативным путем. Медикаментозное лечение может применяться при инфекционных осложнениях и используется для противодействия воспалительным процессам и подготовки пациента к операции.
В Московском клиническом научно-практическом центре имени А. С. Логинова лечение кист легких проводится командой врачей, включая пульмонологов и торакальных хирургов. Раннее обращение к специалисту позволяет вовремя диагностировать заболевание и выбрать правильный подход к лечению.







